La tricología se encarga principalmente del estudio de las alopecias. Dichas alopecias clásicamente se han clasificado en dos grandes grupos: alopecias no cicatriciales y alopecias cicatriciales. Esta distribución se basa principalmente en la posibilidad de repoblación del cabello perdido. Las alopecias no cicatriciales más importantes son la alopecia androgenética, el efluvio telógeno y la alopecia areata. Por su parte, las alopecias cicatriciales más frecuentes son la alopecia frontal fibrosante, el liquen plano pilar y la foliculitis decalvante.
En el estudio de la alopecia nos debemos fijar en múltiples características clínicas así como usar diferentes herramientas o pruebas diagnósticas. La edad de inicio y la cronología, la localización, así como el patrón clínico de la alopecia, son factores clave para orientar a un posible diagnóstico. Estudiar antecedentes personales, historia familiar y posibles desencadenantes (en algunos casos se debe realizar estudio analítico) resulta muy relevante. En la exploración clínica deberemos realizar el pull test, que consiste en estirar el cabello de forma suave para objetivar la caída actual.
Además, siempre debemos apoyarnos en la tricoscopia (estudio dermatoscópico del cabello). Esta nos permite visualizar con gran aumento y definición la superficie del cuero cabelludo y los tallos pilosos. Su desarrollo en los últimos años ha cambiado totalmente el abordaje de estos cuadros, pudiendo llegar a diagnósticos muy precisos en pocos segundos sin necesidad de realizar pruebas invasivas. Así pues, podemos asegurar que la tricoscopia se ha convertido en la herramienta complementaria clave para el estudio de todo tipo de alopecias.
La aparición de la tricoscopia, sin duda, ha relegado el resto de exploraciones complementarias a indicaciones muy concretas. Una prueba clásica, ya menos utilizada a día de hoy es el tricograma. Llamamos tricograma a la observación directa del pelo en el microscopio óptico. Este sigue teniendo algunas indicaciones importantes y nos puede ser muy útil en casos concretos como efluvios, displasias pilosas e incluso en pediculosis capitis (piojos) o tiñas capitis. La muestra se recoge mediante un fuerte estirón a un mechón de pelos, ya que debemos extraer la totalidad del folículo. Es por eso, que se considera una exploración semi-invasiva. En algunos casos, puede resultar útil observar las muestras con luz polarizada. Otra herramienta clásica es la microscopia electrónica, que hoy en día debido a su escasa disponibilidad, ha quedado prácticamente relegada a estudios de investigación.
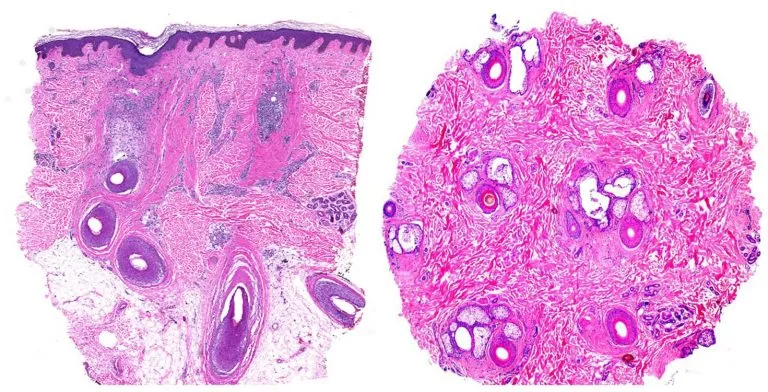
En casos de duda diagnóstica puede resultar clave la realización de una biopsia (o dos) para estudio anatomopatológico. Habitualmente se realiza mediante la toma de un cilindro punch de 4 mm guiada por tricoscopia, para seleccionar una zona representativa de alta actividad y así optimizar el estudio. Para un estudio óptimo, se recomienda la toma de dos biopsias, para realizar cortes longitudinales y transversales de la muestra. Sin embargo, con una buena orientación clínica, en la mayoría de casos será suficiente con una muestra. En caso de las alopecias cicatriciales los cortes más útiles son los longitudinales, mientras que los transversales son clave para las alopecias no cicatriciales.
El correcto abordaje de las alopecias incluye el dominio de todas estas maniobras, técnicas y exploraciones. La correlación entre estos distintos métodos diagnósticos nos aproximará al diagnóstico preciso para poder realizar el tratamiento más adecuado.